# 105 : 犬の胸腺腫摘出手術 / 【胸腔内を占拠した巨大胸腺腫】
来院時の状況
14歳の柴犬が、呼吸が苦しいとの主訴で来院されました。
他院にて胸腔内腫瘤を指摘され、今後の治療方針について当院で相談するため受診されました。
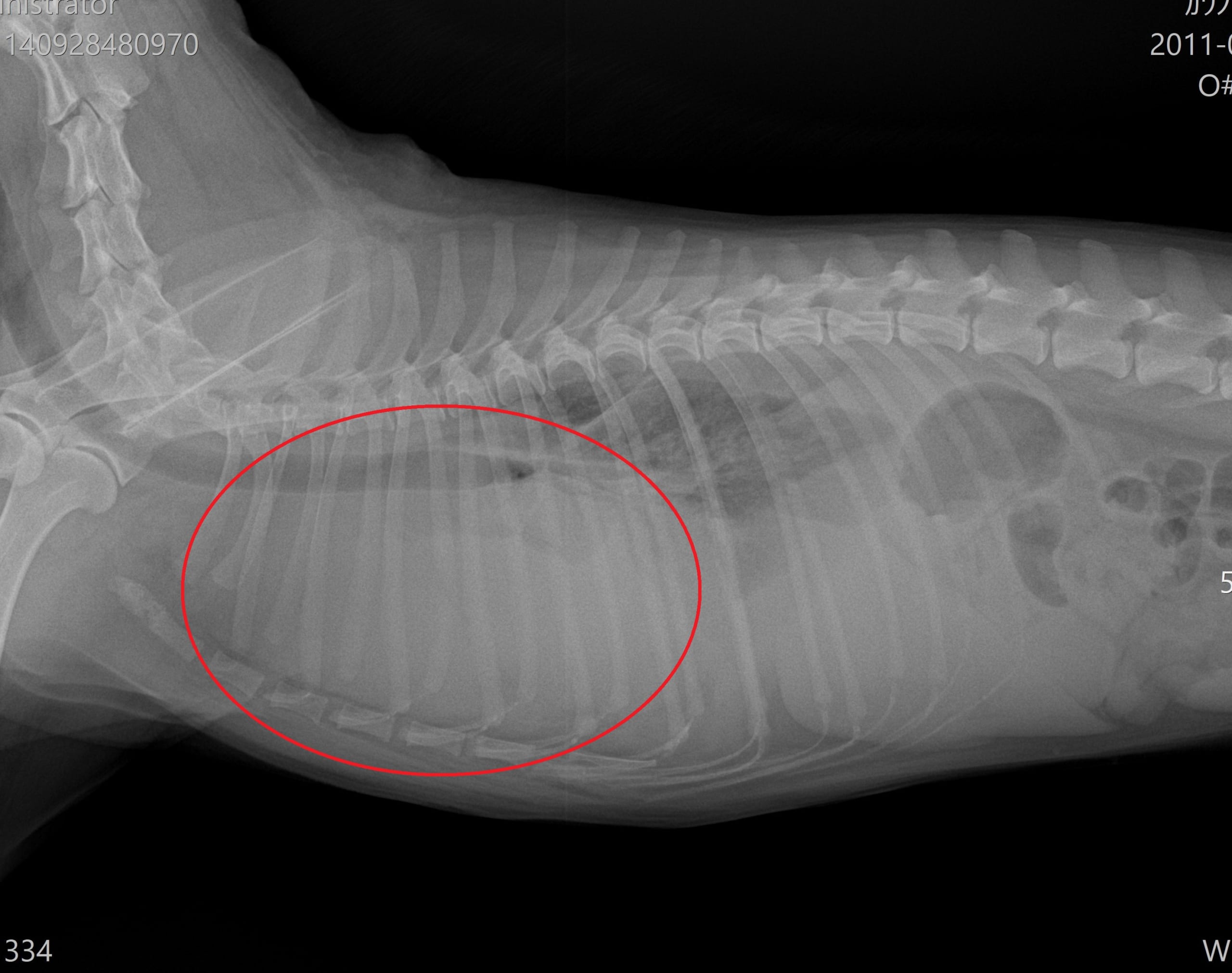
検査・診断
胸部レントゲン検査(腫瘤を赤丸で表示)


より詳しい評価が必要と判断し、沼津市の宮田動物病院にてCT検査をお願いしました。迅速に対応していただき、すぐにCT撮影を行っていただきました。
画像中の黒矢印で示した黄色の部分が、前胸部に認められた腫瘤です。

CT検査では、
- 前胸部腫瘤の大きさ
- 腫瘤に入り込む血管の走行
- 周囲臓器との位置関係
について、宮田先生からリアルタイムで非常に詳しく説明していただきました。
治療方針
検査結果を踏まえ、飼い主さんと相談した結果、呼吸状態の改善を目的として外科的切除を行う方針とし、翌日に手術を実施することになりました。
前胸部腫瘤摘出手術
胸骨を切開すると、前胸部に大きな腫瘤(白丸)が肉眼的に確認できました。
腫瘤(黄矢印)は心臓(黒矢印)にも癒着しており、心膜ごと切除する必要がありました。
また、前大静脈への癒着が認められたため、慎重に剥離操作を行いました。
腫瘤に流入する血管は一本一本丁寧に処理しました。
胸腔内から腫瘤を取り出す瞬間です。

腫瘤摘出直後の胸腔内です。
腫瘤により肺が圧迫されていたため、摘出直後は肺が十分に拡張せず、胸腔内に空間が認められました。
しばらくすると、圧迫されていた肺(黒矢印)が徐々に膨らみ、呼吸の改善が期待できる状態となりました。
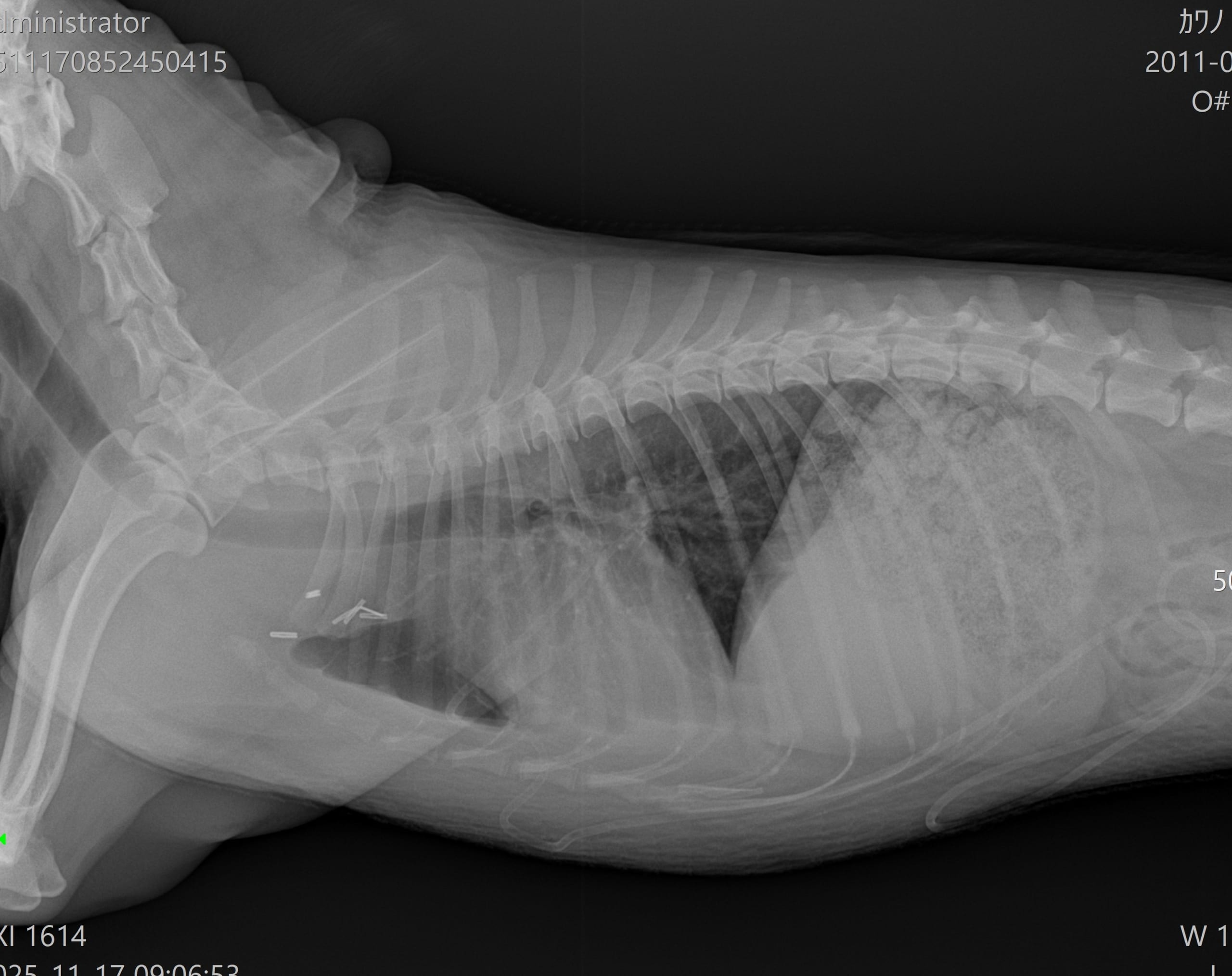
術後経過
術後は呼吸状態が著しく改善し、落ち着いて過ごすことができています。
【術後の胸部レントゲン】

摘出した腫瘤です。

病理組織検査の結果、胸腺腫と診断されました。
まとめ
前胸部にできる腫瘤は、肺や心臓を圧迫して重度の呼吸困難を引き起こすことがあります。
今回の症例では、CT検査による正確な評価と、周囲臓器への影響を考慮した外科手術により、呼吸状態の改善が得られました。
高齢の動物でも、状態や検査結果によっては治療の選択肢がある場合があります。
呼吸が苦しそう、元気がないなど気になる症状がありましたら、早めにご相談ください。
獣医師:林 敬明
この内容は2025年12月時点の情報です
カテゴリ
- 外科 (106)
- 軟部外科 (73)
- 整形外科 (32)
- 胸部外科 (6)
- 歯科口腔外科 (8)
- 耳科手術 (2)
- 呼吸器外科 (8)
- 消化器外科 (11)
- 泌尿器外科 (8)
- 肝臓・胆嚢・脾臓外科 (16)
- 内分泌外科 (4)
- 生殖器外科 (13)
- 眼科手術 (8)
- ヘルニア整復手術 (6)
- 腫瘍摘出手術 (19)
- 内視鏡 (3)
- 内科 (2)
- その他 (1)
アーカイブ
- 2026年4月 (1)
- 2026年3月 (1)
- 2026年2月 (1)
- 2026年1月 (1)
- 2025年12月 (1)
- 2025年11月 (1)
- 2025年10月 (1)
- 2025年9月 (1)
- 2025年8月 (1)
- 2025年7月 (1)
- 2025年6月 (2)
- 2025年5月 (1)
- 2025年4月 (1)
- 2025年3月 (1)
- 2025年2月 (1)
- 2025年1月 (1)
- 2024年12月 (3)
- 2024年11月 (3)
- 2024年10月 (3)
- 2024年9月 (3)
- 2024年8月 (3)
- 2024年7月 (3)
- 2024年6月 (3)
- 2024年5月 (3)
- 2024年4月 (3)
- 2024年3月 (3)
- 2024年2月 (3)
- 2024年1月 (3)
- 2023年12月 (2)
- 2023年11月 (2)
- 2023年10月 (2)
- 2023年9月 (3)
- 2023年8月 (2)
- 2023年7月 (2)
- 2023年6月 (2)
- 2023年5月 (3)
- 2023年4月 (2)
- 2023年3月 (2)
- 2023年2月 (2)
- 2023年1月 (1)
- 2022年12月 (1)
- 2022年11月 (1)
- 2022年10月 (1)
- 2022年9月 (1)
- 2022年8月 (1)
- 2022年7月 (2)
- 2022年6月 (1)
- 2022年5月 (1)
- 2022年4月 (2)
- 2022年3月 (1)
- 2022年2月 (2)
- 2022年1月 (3)
- 2021年12月 (1)
- 2021年11月 (2)
- 2021年10月 (1)
- 2021年9月 (1)
- 2021年8月 (1)
- 2021年7月 (2)
- 2021年6月 (2)
- 2021年5月 (1)
- 2021年4月 (1)
- 2021年3月 (2)











