# 107 : 犬の胆嚢摘出手術 / 【胆嚢管まで粘液が及んだ胆嚢粘液嚢腫】
12歳のポメラニアンが「朝から急に元気・食欲がなく、頻回に嘔吐している」とのことで当院を受診されました。
前日まで大きな異常はなく、急激な体調変化であったため、重篤な疾患の可能性も考え、速やかに検査を実施しました。
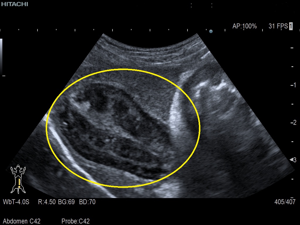
腹部超音波検査にて以下の所見を認めました。
- 胆嚢内にゼリー状内容物が充満
- 典型的な胆嚢粘液嚢腫所見(黄丸)
- 腹水の貯留を認めました。

胆嚢粘液嚢腫は胆汁がゼリー状に固まり胆嚢内に充満する疾患です。
進行すると
- 胆嚢破裂
- 胆汁性腹膜炎
- 急激な全身状態悪化
を引き起こす可能性のある緊急性の高い外科疾患です。
本症例では腹水も認められたため、早期外科対応が必要と判断し、緊急手術を実施しました。
胆嚢摘出手術
全身麻酔下にて胆嚢摘出術を実施しました。
胆嚢は粘液により高度に腫大していました。さらに、胆嚢摘出後に胆嚢管を確認したところ、内部にも粘液物質が充満(黄丸)し、管腔が閉塞している状態が認められました。
本症例では、胆嚢内だけでなく胆嚢管にまで粘液が及んでおり、胆道閉塞へ進行するリスクが高い状態であったと考えられます。そのため、胆嚢摘出後に胆嚢管から総胆管にかけて十分な洗浄を行い、粘液物質および胆泥を丁寧に除去しました。あわせて胆道の通過性を慎重に確認し、閉塞がないことを確認したうえで手術を終了しています。
摘出した胆嚢です。

術後は速やかに回復し、食欲・元気ともに改善し、合併症も認めませんでした。
数日後には無事退院し、現在も安定した生活を送っています。
まとめ
胆嚢粘液嚢腫は、初期には目立った症状がないことも多い一方、ある日突然、急激に状態が悪化することがあります。
本症例のように、胆嚢摘出に加え胆道の閉塞解除や通過確認まで丁寧に行うことが、術後の安定した回復につながります。
当院では胆嚢疾患に対する外科手術を多数実施しており、緊急症例や他院様からの紹介症例にも対応しています。
急な元気・食欲低下や、健診で胆嚢異常を指摘された場合には、早めの精査と適切な外科判断が重要です。
今後も安全性と確実性を重視した胆道外科を提供していきます。
獣医師:林 敬明
この内容は2026年2月時点の情報です
カテゴリ
- 外科 (105)
- 軟部外科 (72)
- 整形外科 (32)
- 胸部外科 (6)
- 歯科口腔外科 (8)
- 耳科手術 (2)
- 呼吸器外科 (8)
- 消化器外科 (11)
- 泌尿器外科 (8)
- 肝臓・胆嚢・脾臓外科 (15)
- 内分泌外科 (3)
- 生殖器外科 (13)
- 眼科手術 (8)
- ヘルニア整復手術 (6)
- 腫瘍摘出手術 (19)
- 内視鏡 (3)
- 内科 (2)
- その他 (1)
アーカイブ
- 2026年3月 (1)
- 2026年2月 (1)
- 2026年1月 (1)
- 2025年12月 (1)
- 2025年11月 (1)
- 2025年10月 (1)
- 2025年9月 (1)
- 2025年8月 (1)
- 2025年7月 (1)
- 2025年6月 (2)
- 2025年5月 (1)
- 2025年4月 (1)
- 2025年3月 (1)
- 2025年2月 (1)
- 2025年1月 (1)
- 2024年12月 (3)
- 2024年11月 (3)
- 2024年10月 (3)
- 2024年9月 (3)
- 2024年8月 (3)
- 2024年7月 (3)
- 2024年6月 (3)
- 2024年5月 (3)
- 2024年4月 (3)
- 2024年3月 (3)
- 2024年2月 (3)
- 2024年1月 (3)
- 2023年12月 (2)
- 2023年11月 (2)
- 2023年10月 (2)
- 2023年9月 (3)
- 2023年8月 (2)
- 2023年7月 (2)
- 2023年6月 (2)
- 2023年5月 (3)
- 2023年4月 (2)
- 2023年3月 (2)
- 2023年2月 (2)
- 2023年1月 (1)
- 2022年12月 (1)
- 2022年11月 (1)
- 2022年10月 (1)
- 2022年9月 (1)
- 2022年8月 (1)
- 2022年7月 (2)
- 2022年6月 (1)
- 2022年5月 (1)
- 2022年4月 (2)
- 2022年3月 (1)
- 2022年2月 (2)
- 2022年1月 (3)
- 2021年12月 (1)
- 2021年11月 (2)
- 2021年10月 (1)
- 2021年9月 (1)
- 2021年8月 (1)
- 2021年7月 (2)
- 2021年6月 (2)
- 2021年5月 (1)
- 2021年4月 (1)
- 2021年3月 (2)








